Лікарі-нейрохірурги зі львівського Клінічного центру дитячої медицини врятували двомісячне маля, провівши операцію з видалення пухлини з мозку.
Про це у Фейсбуці повідомив Клінічний центр дитячої медицини. Західноукраїнський спеціалізований осередок, інформує Укрінформ.
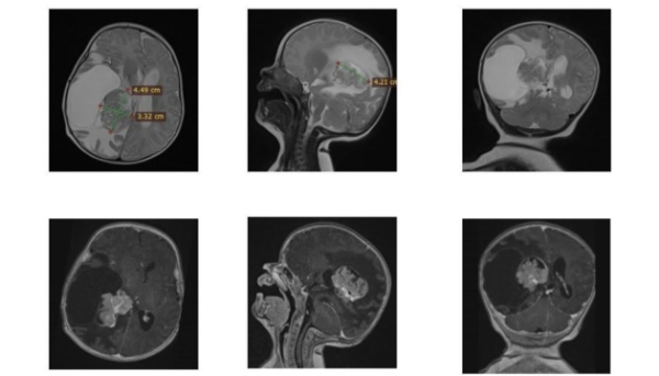
Підкреслюється, що у двомісячного малюка з Рівного виникла небезпечна неоплазма у правому бічному шлуночку головного мозку, що становила загрозу для її існування. Єдиним способом урятувати дитину було складне нейрохірургічне втручання.
«Видалення новоутворення у такої крихітної пацієнтки саме по собі є вкрай ризикованим. Утворення знаходилося в області судинного сплетіння з інтенсивним кровопостачанням, а відповідно, з великим ризиком значної втрати крові. Крім того, пухлина прилягала близько до ділянки, яка відповідає за рухи. Тому хірургічне втручання вимагало максимальної точності та скрупульозної підготовки», – відзначив очільник Клініки дитячої нейрохірургії Михайло Ловга.
Напередодні операції група хірургів детально обговорила всі можливі ускладнення і порядок дій у критичних випадках. Було підготовлено резерв крові, спеціалізовані гемостатичні матеріали, повідомлено суміжних спеціалістів, які могли знадобитися у випадку значної кровотечі.
Безпосередньо втручання тривало довше, ніж зазвичай: лікарям доводилося поступово зупинятися, здійснюючи контроль крововтрати, та надзвичайно обережно видаляти новоутвір, аби не пошкодити рухові центри мозку. Незважаючи на це, операція пройшла успішно. Життю дитини нічого не загрожує.
Як повідомляв Укрінформ, львівські медики врятували немовля з нетиповою гідроцефалією.
